• (727) 586-2681
  • 1472 Jordan Hills Court, Clearwater, FL 33756

dental implant periodontist

Implant and restorative dental case at Britten Periodontics and Implant Dentistry in Clearwater, Florida, showcasing successful tooth replacement and restoration for improved oral health and aesthetics.

While regular brushing, flossing, and checkups allow many of us to maintain our natural smiles for a lifetime, sometimes our teeth just can’t keep up. If you’ve lost a tooth (or a few teeth) due to injury or disease, dental implants can rejuvenate both your smile and your oral health.

An implant is a synthetic tooth root in the shape of a post that is surgically placed into the jawbone. The “root” is usually made of titanium (the same material used in many replacement hips and knees), a metal that is well suited to pairing with human bone. A replacement tooth is then fixed to the post. The tooth can be either permanently attached or removable. Permanent teeth are more stable and feel more like natural teeth.

The ideal candidate for implants is a non­-smoker who has good oral health, including a sufficient amount of bone in the jaw and healthy gums with no sign of gum disease.

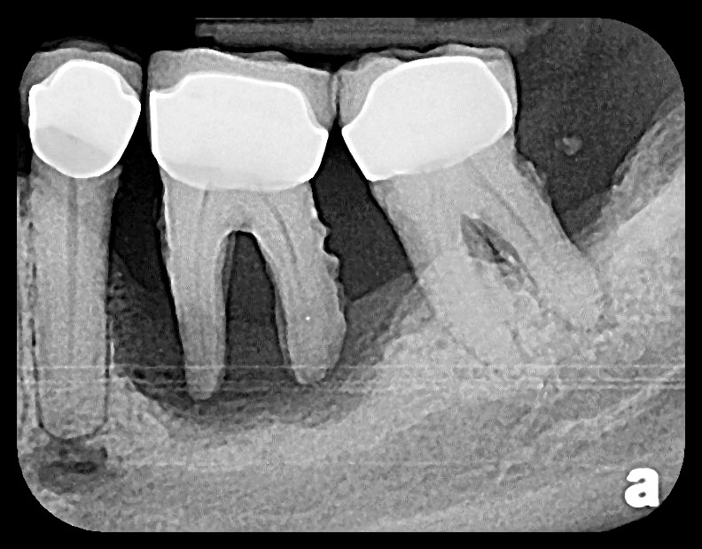
X-RAY TAKEN BEFORE IMPLANTS, HOPELESS TEETH

X-RAY TAKEN OF SUCCESSFUL DENTAL IMPLANTS

What treatment is best for a cracked tooth depends on the extent and the severity of the damage. If a small crack is detected early enough, it’s often possible to seal the fissure with restorative materials. For larger cracks that involve the pulp of the tooth, root canal treatment is generally required. Afterward, the visible structure of the tooth may be restored with a crown or “cap.” Sometimes, additional procedures may be recommended to try and save the tooth. In the most severe cases, however, the tooth will need to be extracted.

The preferred treatment for cracked teeth is — you guessed it — prevention! Wearing proper protective equipment (including a custom-fitted mouthguard) when playing sports, and staying alert to dangerous situations (like distracted or impaired driving) can help keep you safe. So can regular dental checkups, where your teeth are examined carefully for early signs of a problem. However, if you experience any symptoms that could indicate a cracked tooth, don’t wait: The sooner it’s treated, the better the chance that we can save it.

Watch this video from Spear Education

Options to replace a missing tooth explained by a Clearwater, Florida periodontist, including dental implants, bridges, and dentures.

Fixed Bridge

A bridge is an option when there are teeth on either side of the missing tooth.

Advantages
It stays cemented in the mouth and does not come out.

Disadvantages
This does involve cutting down the teeth on either side of the missing tooth to be able to connect them together. Floss threaders, which slide under the bridge, should be used daily, to keep it clean.

The disadvantages for bridges are cutting down teeth that might be perfectly healthy. If there is a leak under the anchor teeth of the bridge, decay can occur below. A bridge can replace one or two missing teeth easily, and sometimes more if there is enough support.

Removable partial denture

A removable partial denture is worn during the day. This is used to replace one or many missing teeth.

Disadvantages 
-Sometimes amay need metal clasps to help it stay in the mouth which may be visible when speaking or smiling.
– They move a little when speaking or eating, which can be uncomfortable.
-We recommend taking them out at night and soaking them in a cleaning solution.

Advantages
There is no need to file down any teeth, and this option is usually the most economical. A full denture can replace all missing teeth.

Dental Implant

An implant is a great way to replace a missing tooth.

Advantages
This solution feels and acts the most like a natural tooth when chewing, brushing or smiling. A major advantage is no need to alter any other teeth when placing an implant. An implant is a great solution for a single missing tooth, and even more implants can replace many missing teeth. When smiling or talking there is no way to tell the difference between an implant and a natural tooth.

Disadvantages
The implant replaces the actual root of the missing tooth and heals in the bone for 3 to 7 months and we then begin the restorative phase. We or your dentist then place an abutment, to which a crown will be cemented. Dental implants are usually a more costly option, at least initially, but are often the best long-term investment.

Do Nothing

There is always the option to do nothing.

Advantages
Saves money, at least initially

Disadvantages
When a tooth is removed, the bone shrinks away and the other teeth in the area will shift to fill the gap. This can sometimes lead to other problems like shifting of other teeth, causing bone loss or decay around the existing teeth as they become more difficult to clean.

If you have questions about replacing teeth lost to fractures, decay or gum disease, contact us today at 727-586-2681.

www.brittenperio.com

Immediate dental implant placement performed by Clearwater, Florida periodontist Dr. Todd Britten at Britten Periodontics.

Immediate dental implants are often necessary due to a non-restorable fracture of a tooth. In some cases, there may be infection associated with the cracked or fractured tooth. The procedure begins with an exam, 2-D and 3-D x-rays. A diagnosis is made and treatment options are discussed. An immediate dental implant is the treatment of choice. Any pre-operative study models that are needed are taken.

Surgical Procedure:  The patient is generally well sedated with either oral or IV sedation. Just like any other procedure, topical anesthetic is applied prior to local anesthesia administration. Impressions of the teeth are taken if necessary prior to the tooth extraction. The fractured tooth is removed very carefully to minimize any damage to any surrounding bone. At the time of surgery, Dr. Britten can determine if immediate implant placement is possible. This is the part you don’t always know until you get there. Additional bone grafting is often necessary to fill the voids between the dental implant and the remainder of the extraction socket. In addition, a membrane, soft-tissue graft or platelet graft (L-PRF) may be used to protect the bone graft.

As an implant specialist, Dr. Britten is highly trained and experienced in the most advanced and current technologies used for long-term implant health and success. He believes in using the best diagnostic tools as well as the highest quality implants in his practice. Dr. Britten works closely with the best restorative dentists in the Tampa Bay area to obtain the best possible outcome for his patients’ implants.  For more information, contact us at 727-586-2681

[iphorm id=”3″ name=”Contact form”]

https://youtu.be/PD6A88Yq8AU

How scaling and root planing procedures effectively treat gum disease, explained by Britten Periodontics in Clearwater, Florida.

How scaling and root planing procedures can help treat gum diseaseThe human mouth is filled with bacteria.  These bacteria, along with mucous and other particles form a sticky film called plaque is constantly forming and which adheres to the teeth.  This plaque can be removed by brushing and flossing.  When the plaque is allowed to remain on the teeth, the bacteria involved become more harmful, and more difficult to remove, creating an environment that is more toxic to the tissue.  The plaque itself can harden creating a cement like substance (calculus) that cannot be removed with brushing and flossing alone.

Your gum tissue does not attach directly to your teeth. There is a space or pocket between the gum and the tooth before it attaches. The pocket gets deeper when plaque, tartar and inflammation are present. This leads to inflammation and gum disease. The gums become irritated and begin to separate from the tooth, creating a periodontal pocket.

The bacteria and infection causing the detachment needs to be addressed.

Scaling and Root Planing

Non Surgical Periodontal Therapy includes a very important option known as scaling and root planing or “a deep cleaning” This is often recommended as the first step in periodontal therapy. Treatment is usually done by one of our hygienists using local anesthesia to provide comfort for the patient as the root surfaces in deep periodontal pockets are debrided to remove calculus or “tartar” and to smooth the root surfaces to remove bacterial toxins. This may take more than one visit with the hygienist and is followed up with a visit with Dr. Britten in four to six weeks to evaluate the periodontal tissues.

https://youtu.be/6-CKhC1_XTo

If you have any questions about gum disease or its treatments, please contact our team or make an appointment. Our incredible staff will give you the best dental care possible.

[iphorm id=”3″ name=”Contact form”]

www.brittenperio.com
727-586-2681

3 Parts of a Dental Implant Clearwater Florida Periodontist Dr. Todd Britten
The 3 Main Parts of a Dental Implant

1. The Fixture
The fixture is the bottom of the implant and is the part that is embedded below the gum line, fusing with the jawbone.  It is like the root of the tooth. The fixture is made of titanium and has a cylindrical, screw-shaped design. It is often coated with a material known as hydroxyapatite, which can assist with the process of fusing the implant to the jaw bone. This part is placed first and appropriate healing has to take place before the restorative phase, which includes placing the abutment and crown.
2. The Abutment
The abutment is screwed into the fixture and will eventually hold the actual tooth portion that you see in your mouth. It is a small piece that lies right around the gum line.
3. Implant crown
The crown is cemented or screwed into the abutment. If the prosthesis is a crown or bridge, or snapped onto the abutment if the prosthesis is a bridge or denture.
Dental implants are designed and constructed to be extremely strong and able to last decades, becoming a permanent solution to replace missing or chipped teeth.

If you have any questions about Dental Implants, please contact our team or make an appointment. Our incredible staff will give you the best dental care possible. Contact us today:

727-586-2681.
[iphorm id=”3″ name=”Contact form”]

Back to Blog

appointment

Categories